Accidental Battery Ingestion

It is crucial to remove any accidental battery ingested in gastro-intestinal tract as soon as possible as degradation of battery may lead to caustic injury. The risk is highest if it is stuck in esophagus. As a result esophageal button battery is the most critical indication of emergent endoscopy in children. The injury to mucosa is due to the release of hydroxide radicals resulting in a caustic injury from high pH instead of electrical thermal injury.

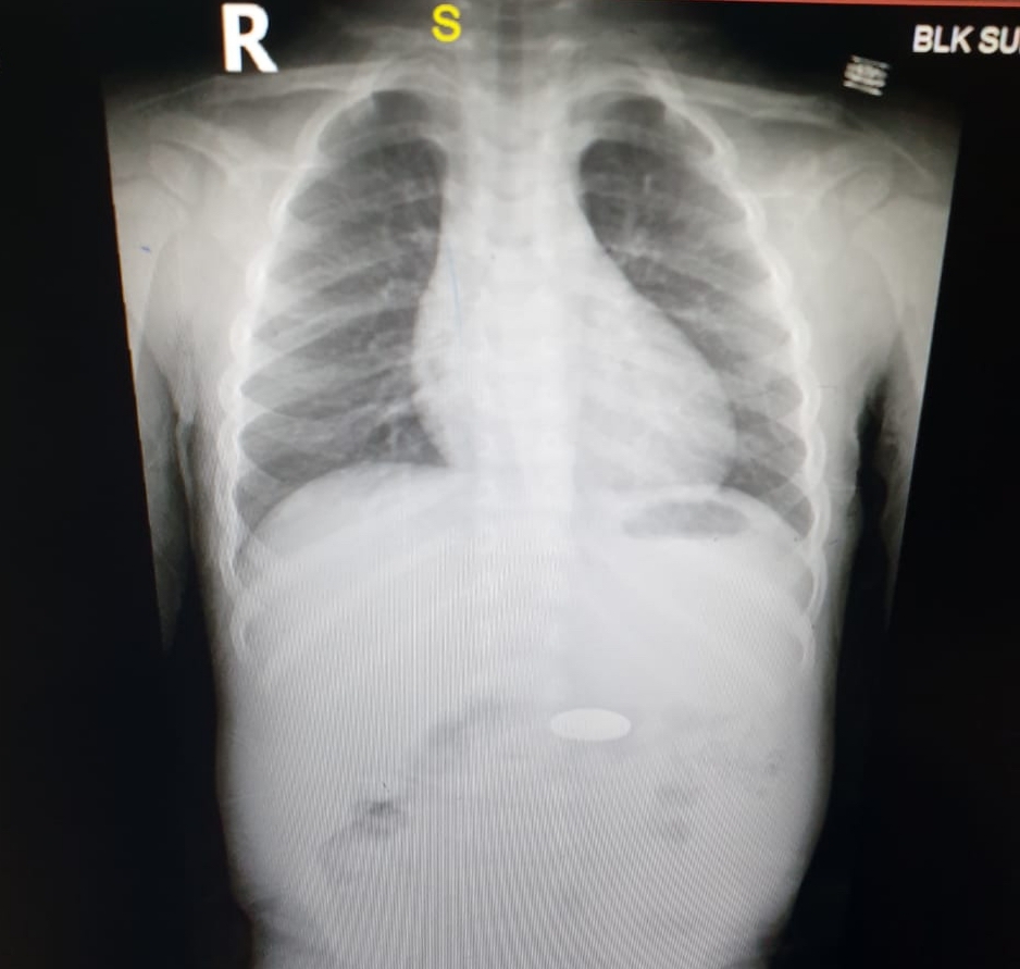
The above case (radiograph above), a 2.5 year old boy had presented with h/o ingestion of disk/button battery from a TV remote, few minutes back. It was retrieved Endoscopically using a Roth net child was discharged to home within 3 hours. There was no surrounding mucosal injury as it was removed timely.

Leave a comment

This site uses Akismet to reduce spam. Learn how your comment data is processed.